Contexte :
Le patient présente un parodonte sain réduit avec un antécédent parodontite de stade III grade B (selon Chicago 2017) traitée par une thérapeutique parodontale non chirurgicale minimalement invasive. Il se plaint de l’aspect inesthétique des trous noirs interdentaires dans le secteur antérieur maxillaire. Lors de la séance de maintenance parodontale à 3 mois, le patient exprime le désir d’améliorer l’esthétique de cette zone.

Plan de traitement : Composites interproximaux sur 12/11/21/22 pour fermeture des triangles noirs
La chirurgie plastique parodontale ne présente pas de résultats prévisibles concernant la reconstruction des papilles interdentaires. Le choix se porte sur la dentisterie restauratrice adhésive. Les dents ne présentant aucun délabrement, nous optons pour la réalisation de composites proximaux.
Dans la littérature, différentes techniques ont été exploitées pour réaliser ces composites en reproduisant un profil d’émergence correct et une étanchéité du joint de collage tout en respectant la santé parodontale. L’utilisation des matrices BioClear BT Matrix distribuées par Bisico semble être la meilleure option pour réaliser ces composites. Elles permettent la création d’un profil d’émergence correct tout en accentuant son angle pour combler les trous noirs et aspirer les tissus mous papillaires en direction coronaire.
Cas clinique pas à pas :
L’analyse esthétique est réalisée sur une photo du sourire (figure 1) et sur une macrophotographie de l’arcade maxillaire (figure 2).
Le Sourire est de classe III selon la classification de Parodontia avec une visibilité des espaces interdentaires remplis ou non de papilles. Le Smile esthetic index nous indique un score de 5/10.
Le Papilla Presence Index (PPI) est de 3 pour la papille 12/11 avec la visibilité de la jonction émail-cément (JEC) interproximale, pour les papilles 11/21 et 21/22 le PPI est de 2 sans visibilité de la JEC.

La première étape consiste à isoler les dents traitées avec un champ opératoire (figure 3). Ensuite, la sélection des matrices est réalisée a l’aide de la jauge de mesure colorée BT (figure 4) :


Après nettoyage des surfaces dentaires par un polissage et un sablage (ex : AquaCare), le mordançage à l’acide orthophosphorique (ex : Uni-Etch) est réalisé pendant 30 secondes. (figure 5)

Ensuite, le protocole adhésif avec un adhésif universel (All-Bond Universal) est appliqué sans les matrices pour permettre un accès optimal à la surface de collage. Pour éviter le blocage par la couche adhésive les matrices calibrées sont insérées en sous gingival, en pression pour assurer une adaptation optimale et une bonne étanchéité. (figure 6), A cette étape, l’adhésif est inséré et polymérisé pendant 30 secondes.

Pour ce cas, nous utilisons un composite injectable A2 en mono teinte (ex : Micro Ethestic Flow Viscous)
L’injection est faite en excès, (fig.6 A), dent par dent avec une polymérisation de 60 secondes sur chaque apport. Une injection sur le versant lingual est également nécessaire pour assurer un remplissage complet de l’espace interproximal.
Après polymérisation finale, les matrices sont retirées. Sur la photo, nous pouvons voir les excès de composites sur les faces vestibulaires et incisales. (figure 7)

L’élimination des excès est réalisée sous digue à l’aide d’une fraise flamme bague rouge. Un polissage avec des disques pop-on de granulométrie décroissante est entreprise. Ce premier polissage sera complété lors d’une séance ultérieure dédiée. (figure 8)

Ci-dessous la vue clinique après dépose de la digue (figure 9).

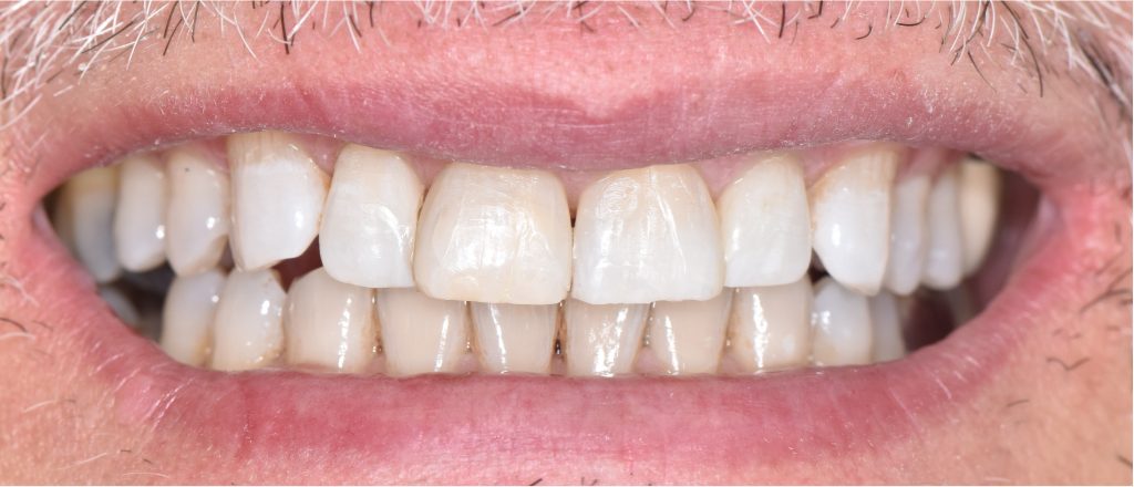
Le patient est satisfait de l’esthétique de son sourire immédiatement.

A une semaine, nous entreprenons le polissage final. Celui-ci est réalisé à l’aide des disques pop-on de granulométrie décroissante, de polissoirs en silicone et pour terminer d’un polissoir en laine de coton associé à une pâte à polir (Enamel Plus Shiny).
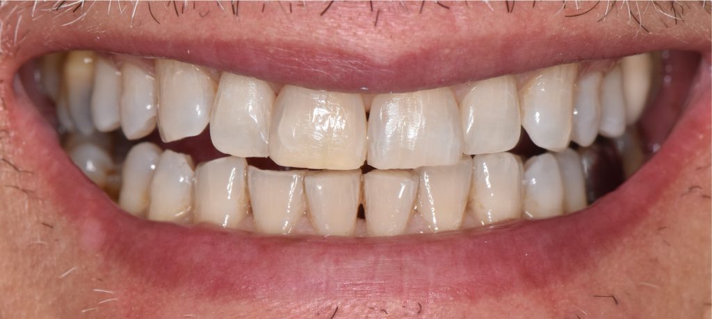
Ci-dessous la vue clinique du résultat final.

Le patient est complètement satisfait de l’esthétique de son sourire. Nous pouvons espérer une remontée de la papille entre 11 et 21 après maturation des tissus mous.
Le Smile esthetic index est de 8/10 en fin de traitement.

Conclusion :
Après le traitement d’une parodontite chirurgical ou non, l’apparition de récessions est fréquente. La perte des papilles interdentaires représente un défi dans sa réhabilitation. La chirurgie plastique parodontale ne donne pas de résultats prévisibles et, les traitements restaurateurs ne sont pas toujours faciles à entreprendre dans ces zones.
Les matrices BioClear BT Matrix offrent une solution de choix par leur simplicité d’utilisation et la qualité des apports de résines qu’elles permettent pour maintenir la santé parodontale à long terme.

Dr Theo RANCHAIN
CCU-AH Parodontologie,FSMPM – APHM
Diplômé de la Faculté d’Odontologie de Marseille
DESU de Parodontologie (Marseille)
CES de Parodontologie (Strasbourg)
Pratique privée exclusive Parodontologie – Implantologie – Esthétique, Berre l’Etang (13130)


Laisser un commentaire