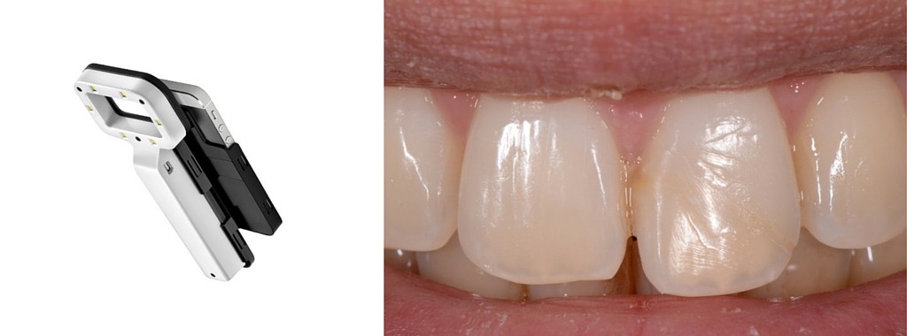
Nous allons voir à travers ce cas clinique comment recoller de manière invisible un morceau de dent suite à une fracture. Un patient de 21 ans se présente à la consultation avec un morceau de dent fracturée, recollé quelques années auparavant, et désire retrouver une esthétique correcte (cas clinique : courtoisie du Dr. Gauthier Weisrock).

Situation initiale, fracture 21 (Smile Lite + Smile Capture)

Vue polarisée (Smile Lite + Style Lense + Smile Capture + Flexipalette)

Radiographie pré-op

Dépose du morceau fracturé

Isolation (digue Nic Tone)

Sablage (Dento-Prep)

Vue avant et après sablage

Essayage du morceau fracturé

Mordançage du morceau fracturé (Uni-Etch)

Mordançage de la dent (Uni-Etch)

Application des primers et du bonding sur le morceau fracturé et photopolymérisation (All-Bond 2)

Application des primers et du bonding sur la dent et photopolymérisation (All-Bond 2)

Assemblage à l’aide de composite réchauffé, photopolymérisation, finition et polissage (Enamel Plus HRi + EnaHeat)
Radiographie immédiate post-op

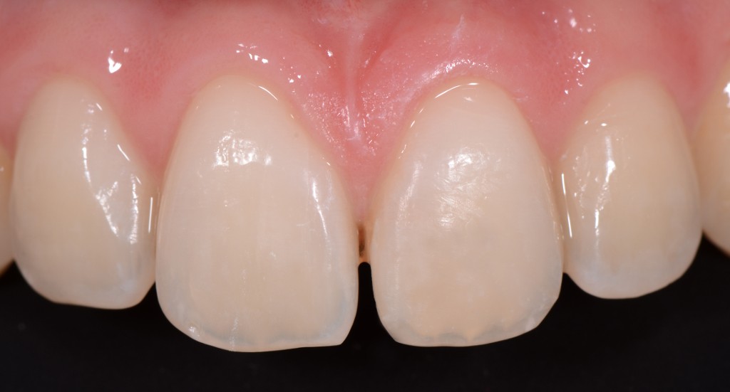
Vue polarisée finale à une semaine (Smile Lite + Style Lense + Smile Capture + Flexipalette)

Vue à une semaine (Smile Lite + Smile Capture + Flexipalette)

Les Dispositifs Médicaux mentionnés dans cet article sont des produits de santé réglementés qui portent, au titre de cette réglementation, le marquage CE - Classe I - Smile Line (Flexipalette) / MDC Dental (Nic Tone) / Micerium (EnaHeat) ; CE 0543 Presafe Denmark A/S - Classe IIa - Ronvig (Dento-Prep) ; CE 0459 LNE/G-MED - Classe IIa - Bisco (Uni-Etch, All-Bond 2) ; CE 0297 DQS - Classe IIa - GDF (Enamel Plus HRi). Nous vous invitons à lire attentivement les instructions figurant dans la notice qui accompagne le Dispositif Médical ou sur l’étiquetage remis. Non-remboursé par les organismes d’assurance santé. (Smile Lite et Smile Capture ne sont pas des Dispositifs Médicaux - CE - Smile Line).


Laisser un commentaire